Histeroskopik Cerrahi
HİSTEROSKOPİK CERRAHİ
Histeroskopi, rahmin içini ve tüplerin rahime açılan kısmını görmek için kullanılan bir kamera sistemidir. 4-10 mm çapında içinde lens, ışık kaynağı ve kamera bulunan ince uzun boru şeklinde metal bir alettir. Görüntü bir TV monitörde izlenir. Rahim içi direkt gözle görerek kontrol edilebildiği gibi, aynı zamanda içinde tesbit edilen patolojiler düzeltilebilir ve doku örneği alınabilir.
TEKNİK
Histeroskopi, muayenehane şartlarında lokal anestezi ile veya ameliyathane ortamında genel anestezi veya spinal anestezi ile uygulanabilir. Adet başlangıcından itibaren ilk 10 gün rahimiçi duvarı daha kalınlaşmamış olduğundan uygun görüntü ve operasyon için en doğru zamandır. Rahim ağzının histeroskopun geçebileceği kadar genişletilmesi gerekir, bu nedenle buji denilen ince uzun metal çubuklarla rahimağzı gerektiği kadar genişletilir. Daha sonra histeroskop, vajenden ve rahimağzından geçerek rahimiçine ilerletilir. Rahim içi sıvı ile doldurularak monitöre yansıyan görüntü izlenir. Histeroskopi, tanı amaçlı veya tedavi amaçlı operasyon yapmak için kullanılabilir. Histeroskopiden birkaç saat sonra hasta evine gönderilebilir.

HİSTEROSKOPİNİN KULLANILDIĞI DURUMLAR
Tanı amaçlı;
1) Aşırı ve düzensiz adet kanaması:
Aşırı ve düzensiz kanamalarda, rahim duvarında kalınlaşma, polip, myom, kanser olabilir. Bunların tanısını koymak
ve gerektiğinde doku örneği almak için histeroskopi yapılabilir.
2) Menopoz sonrası kanama:
Postmenopozal kanamalarda mutlaka olası bir rahimiçi kanserini ekarte etmek gerekir. Histeroskopik olarak
rahimiçi gözlenip doğru yerden biopsi alınabilir.
3) Tekrarlayan düşüklerin araştırılması:
Özellikle ikiden fazla ardışık düşük gözlendiğinde veya geç gebelik kayıpları görüldüğünde rahim içinde şekil
bozuklukları veya yer işgal eden lezyonların varlığı histeroskop ile değerlendirilebilir.
4) Kısırlık nedenlerinin araştırılması:
Kısırlık nedenlerinin açıklanamadığı durumlarda rahimiçinin değerlendirilmesi gerekebilir.
5) Anormal Histerosalpingografi (HSG) ve Ultrason bulgularının kesinleştirilmesi için :
Yapılan HSG veya USG tetkiklerinde rahimde şekil bozuklukları ve rahim içinde polip, myom, yapışıklık gibi
durumları düşündüren görüntülerin kesinleştirilmesi için histeroskopi yapılabilir.
Tedavi amaçlı;
1) Anormal uterin kanamanın durdurulması için rahimiçi tabakanın çıkartılması veya yakılması ( Endometrial ablazyon )
2) Aşırı kanamaya neden olan polip veya myomların çıkartılması
3) Rahimiçi meydana gelmiş yapışıklıkların ( Asherman sendromu ) açılması
4) Doğuştan olan rahim anomalilerinin (septum, bikornis, arkuat, hipoplazi) düzeltilmesi
5) İpi görülemeyen veya rahim içine kaçan spiralin çıkartılması

OFİS HİSTEROSKOPİ
Ofis histeroskopi muayenehane ortamında yapılan, genelde herhangi bir anestezi gerektirmeyen veya lokal anestezi ile yapılan, rahim içinin bir kamera ile görüntülenmesini sağlayan rahat, kolay tanısal bir işlemdir. Tanısal amaçla kullanılanlarda çap 5 mm olduğundan çoğunlukla rahimağzını genişletmek gerekmez. Tanısalofis histeroskopi ile rahim içindeki polip, myom, Asherman sendromu (rahim içi adezyon, sineşi yani yapışıklıklar), şekil bozuklukları ( septum veya perde ) gibi patolojileri direkt olarak görmek mümkün olmaktadır.
OPERATİF HİSTEROSKOPİ
Operatif histeroskopide kullanılan histeroskopların çapı daha büyük olduğundan ve ameliyat daha uzun sürdüğünden ameliyathane ortamlarında genel anestezi altında yapılmaktadır.
1)Histeroskopik Endometrial Ablazyon:
Anormal uterin kanamalarda, hastanın gebelik isteği yoksa, rahmini aldırmak istemiyorsa ve diğer medikal tedavilerden fayda görmemiş ise endometrial tabaka histeroskopik olarak çıkartılır veya yakılır. Bu işlemden önce kanser olmadığı teyit edilmelidir. Bu işlemden sonra hastanın adet kanaması ileri derecede azalır veya hasta hiç adet görmeyebilir.
2)Histeroskopik Polipektomi veya Myomektomi :
Polip, rahim iç tabakasından ( endometrium ) kaynaklanan rahim içerisindeki alanı daraltan ve adet kanamasının fazla olmasına neden olabilen “et parçası” olarak tanımlanabilecek bir yapıdır. Normal yollarla veya tüp bebek uygulacak hastalarda gebelik şansını azaltacağı düşünülüyorsa histeroskopiyle çıkartılır.Hastanın kanama veya çocuk isteği olsun olmasın, poliplerin %1’inde kanser olasılığı olduğu için cerrahi olarak çıkarılması ( histeroskopik polipektomi ) ve çıkan parçaların mutlaka patolojiye gönderilmeleri önerilir.
Myomlar rahimin kas tabakasından (myometrium) kaynaklanan iyi huylu tümörlerdir. İç tabakaya yerleşen(submüköz) veya orta tabakadan kaynaklanan ( İntramural ) ancak iç tabakaya bası yapan myomlar, adet kanamasının fazla olmasına ve kansızlığa, çocuk isteyen hastalarda gebelik oluşmamasına, düşük ve erken doğum riskinin artmasına yol açabilirler. Bu nedenle histeroskopik myomektomi yapılır.



Histeroskopik polip eksizyonu
Histeroskopik myomektomi
3)Histeroskopik sineşi açılması veya adezyolizis
Geçirilmiş myom ameliyatı, doğum sonrası kürtaj veya sezaryen gibi ameliyatlardan sonra ve rahim tüberkülozundan sonra rahim iç tabakasında yapışıklıklar oluşabilir. Bu hastalarda adet hiç olmayabilir, adet kanaması normalden az olabilir. Adet döneminde şiddetli ağrı olabilir. Yapışıklık çok az olsa bile hastalar gebe kalamayabilir veya düşük olabilir. Çocuk sahibi olmak isteyen hastalarda tedavi histeroskopi ile yapışıklıkların açılmasıdır.
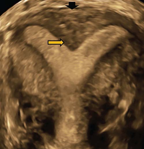
4)Histeroskopik Septum Rezeksiyonu
Rahim içi boşluğu ikiye bölen, perde olarak da adlandırılan doğuştan bir rahim bozukluğudur. Bu perde kısa olabildiği gibi bütün rahim iç tabakası boyunca rahimağzına kadar uzanabilir ve hatta rahimağzını ve vajenide ikiye bölerek vajen ağzına kadar uzanır. Rahimdeki bu perde kavitenin hacmini azalttığı için gebelik oluşumunu engelleyebilir. Gebe kalabilen hastalarda ise düşük ve erken doğum olasılığı yüksektir. Ancak bunların bir kısmı asemptomatiktir ve normal zamanında doğum yapabilir. Bu nedenle daha önce kısırlık öyküsü olmayan veya düşük yapmamış hastalarda septumun alınıp alınmaması tartışmalıdır. Çünkü septumun küçük olduğu olgularda hastaya bir zarar vermediği için tedavisi de gerekmeyebilir. Ancak düşük veya erken doğum öyküsü olan, gebe kalamayan ve tüp bebek uygulanacak hastalarda histeroskopik septum rezeksiyonu yapılmasıgerekir. Ayrıca bu septumlar adet dışı kanama ve adet sırasında şiddetli ağrıda (dismenore) yapabilir. Bu şikayetlerin varlığında da gebelik problemi veya isteği olmasa bile rezeksiyon yapılması gerekir. Ayrıca bu uterin anomalilerin varlığında üriner sistemde de doğumsal anomalilerin olabileceği akılda tutulmalıdır.




KOMPLİKASYONLAR
-Enfeksiyon : Rahimiçi enfeksiyonu (Endometrit) gelişebilir.Bu rahim içinde yapışıklıklara yolaçabilir.
-Kanama : Yapılan işlem sonrası rahim duvarına verdiğimiz hasara bağlı olarak şiddetli ve durdurulamayan kanamalar
meydana gelebilir. Bunun için rahim kasılmasını artıran ilaçlar, rahim içine balon uygulaması gibi tedaviler uygulanabilir.
-Uterusun delinmesi : En sık görülen komplikasyonlardandır. Delik küçük ise ve damar yaralanması yoksa sadece gözlem
yeterli olur. Kanamanın durmadığı veya deliğin büyük olduğu durumlarda laparoskopi eşliğinde tamir etmek gerekebilir.
-Barsak/mesane yaralanması: Çok nadiren uterus delindiğinde özellikle kullandığımız enerji kaynakları ve elektrik akımı
barsak veya mesanenin yaralanmasına yolaçar. Ciddi bir komplikasyondur ve tamir edilmesi gerekir.
-Kullanılan sıvılara bağlı alerjik reaksiyonlar
-Fazla ve kontrolsüz sıvı kullanılmasına bağlı komplikasyonlar: Aşırı sıvı kullanımınında hiponatremi gelişir ve bu da
Akciğer ve beyin ödemine yolaçar. Ciddi bir komplikasyondur









